Skip to main content
Hospital for Special Surgery Logo
phone 1.212.606.1000
Make an Appointment
1.212.606.1000 Make an Appointment
Back to Patient Stories Overview
Salamatu Jibril

Salamatu Jibril

Accra, Ghana

Knee Replacement

Salamatu Jibril

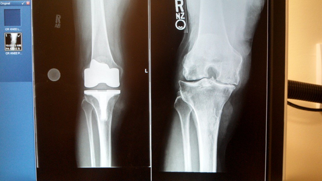
My mom had both of her knees replaced six weeks apart and she couldn’t have been happier. Prior to the first surgery (right knee) on 08/10/18 at HSS she was very scared and often questioned if she made the right decision to have her damaged knees replaced because of the pain associated with surgery and weeks of rehab. She is from Ghana and barely understands a word of English but after meeting her HSS surgeon, who took his time and managed to explain the procedure and the possible outcome to her understanding, she couldn’t wait. He did such a great job on her she was surprised she could walk without the help of a walker just after 4 weeks. The left knee was done on 9/28/18. She has a made marked improvement and she is happy with the result thus far. Today, we met her surgeon for a follow-up and when she saw the before and after x-ray picture of both legs she was all smiles. She felt she couldn’t thank the HSS team enough for the wonderful job they did on her. He appears compassionate and caring she said to me and that she is glad and lucky she had him as her orthopedic surgeon. Her surgeon is awesome and I will definitely recommend him to anyone who needs a knee replacement surgery. Thank you.

Written by Jibril Yahaya (son)

HSS Providers

Schedule a virtual or in-person appointment with an HSS specialist today. Start your request online or call 1.800.796.0482.

Make an Appointment