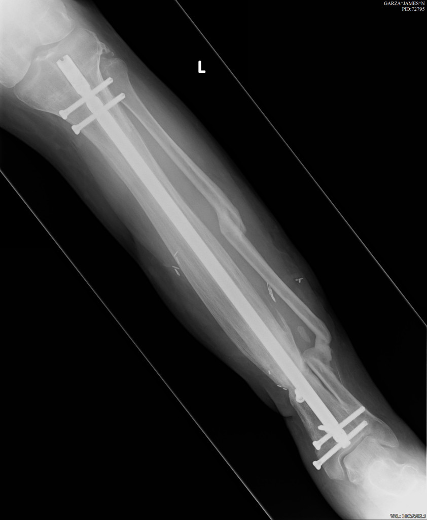
I had polio as a child. After many surgeries over a 30 year period my walking was getting increasingly more difficult. Walking hunched over and holding on to my right leg not to have it collapse underneath me. I started visiting doctors in Western NY and Canada only to be told that either nothing could be done or something might be possible but they could not help me. Finally a doctor suggested HSS. Calling the hospital I was directed to Dr. S. Robert Rozbruch. We met and he told me he could help, an open wedge osteotomy with a correction of the varus. Surgery was a life changing experience. Instead of being relegated to a life of walking with assistance or worse, I now walk with ease completing tasks which were once seemed daunting. I never gave up looking for help and I never thought i would have found someone as amazing as Dr. Rozbruch.
HSS Providers
Schedule a virtual or in-person appointment with an HSS specialist today. Start your request online or call 1.800.796.0482.